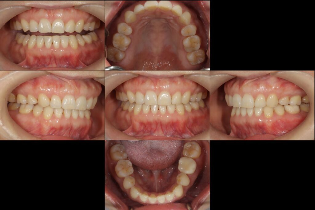
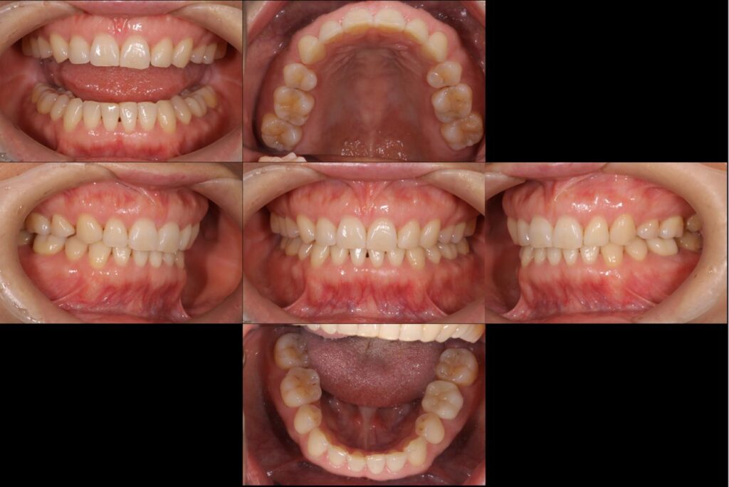
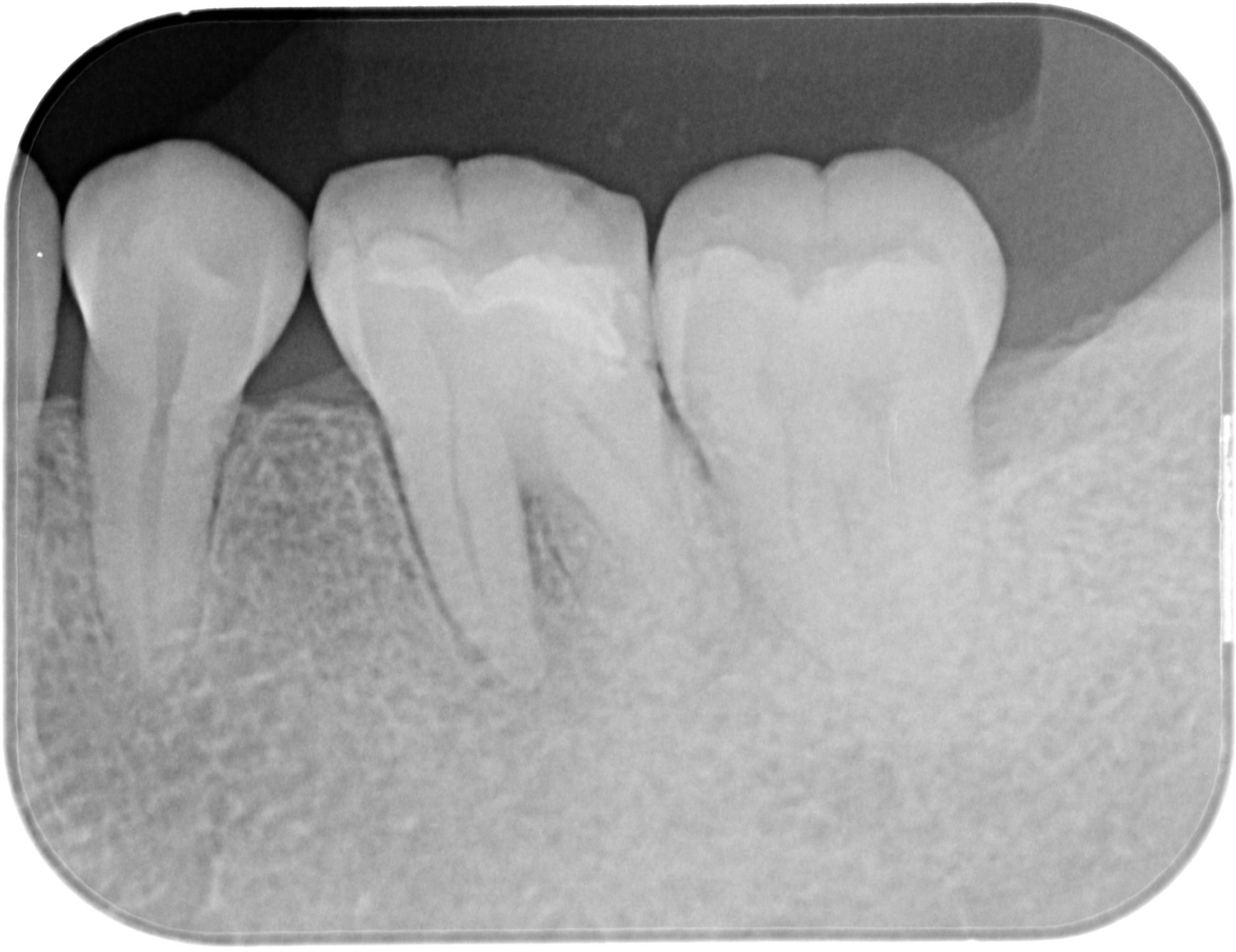
神経(歯髄)近くまたは神経自体にまで達したむし歯があるとき、外傷によって神経が露出したときに、MTAセメントという特殊なセメントを使用し、神経を残す治療です。
これまでであれば神経を除去するしかないケースでも、神経を残せる可能性があります。
神経を残すことの重要性を鑑み、当院では根管治療の前に、まずは歯髄保存療法を第一の選択肢として考えます。ただ、自費・保険から選べる根管治療とは異なり、歯髄保存療法はすべて自費診療となります。歯髄保存療法のメリットやデメリット、費用のことなどを詳しくご説明した上で、最終的には患者様に治療法を選んでいただきます。