歯周病

歯周病とは

歯周病とは

歯周病とは、歯垢(プラーク)や歯石内の歯周病菌に感染することで、歯茎が炎症を起こしたり、歯槽骨(歯を支える骨)を溶かしたりする病気です。初期段階には痛みやしみなどの自覚症状が極めて少なく、気づかないうちに症状が進行しているケースも少なくありません。症状が進行して歯槽骨が破壊されると、最悪の場合、歯が抜けてしまうこともあります。現在日本人が歯を失う一番の原因とされており、予備軍も含めて成人の約8割が罹患していると言われています。 大阪市北区・大阪市福島区で歯周病予防・歯周病治療ならこばやし歯科クリニックまでご相談ください。

歯周病の症状

歯周病検査

歯の色はお顔の印象を左右します

歯周病治療では、症状の進行に応じた治療方法を選択する必要があります。そのため、治療前にまずは症状の進行段階を確認する検査を行います。

歯周ポケット検査

歯周病の進行にともない、歯と歯茎の間の歯周ポケットが深くなります。その深さを測定し、症状の進行段階を確認します。

歯の揺度検査

歯の揺度検査

歯周病の進行にともない、歯がぐらぐらと動くようになります。ピンセットで歯をつまんで動かす検査を行い、症状の進行段階を確認します。

レントゲン検査

レントゲン

歯周病の進行にともない、歯槽骨が溶けていきます。レントゲンによって歯槽骨の状態を検査し、症状の進行段階を確認します。

歯周病治療

検査により進行段階を確認した後、症状に応じて次の治療を行います。

歯周ポケット掻爬(そうは)術

歯周ポケット掻爬(そうは)術

中等度の歯周病に対して行う外科手術です。歯茎に麻酔をかけ、歯周ポケット内にこびりついた歯垢や歯石を取り除きます。

フラップ手術

重度の歯周病に対して行う外科手術です。歯茎に麻酔をかけた後、歯茎を切開して歯根を露出させ、歯根などにこびりついた歯垢や歯石、歯周病菌に侵された歯茎などを取り除きます。

歯周再生治療

歯周病によって失われた歯周組織を再生するために、症状に応じて次の治療を行います。

メリット

デメリット

担当衛生士制

歯周病治療で通っていただく患者様には担当の歯科衛生士がつくようになっています。毎回担当する人が変わるシステムとは違い、症状の変化や状況を理解した上でサポート出来る為、より安心して通っていただくことが可能です。

エムドゲイン

歯周ポケット内を清掃した後、歯周組織を再生させたい部分に「エムドゲインゲル」という薬剤を入れ、組織再生を促進します。エムドゲインゲルは体内に吸収されるので、メンブレンのように除去する必要はありません。

リグロス

フラップ手術によって歯周ポケットの歯石・プラークを取り除いた後、吸収が見られる顎の骨に成長因子であるリグロスを塗布することで、その顎の骨の再生を促す治療です。 エムドゲインとは異なり保険診療となりますので、患者様の経済的なご負担も軽減されます。

マイクロスコープを使った歯周外科治療

ブラッシング指導とスケーリング・ルートプレーニングによる歯周基本治療で十分な効果が得られないときには、フラップ手術、リグロス、エムドゲインといった外科的な治療が必要になります。
こばやし歯科クリニックでは、このような歯周病に対する外科治療を行う際、20倍までの視野の拡大が可能かつ操作性に優れたマイクロスコープEXTARO300を使用することができます。

マイクロスコープを使用することで、切開を正確に、小さくすることができます。また、肉眼では取り扱いが難しい極細の縫合糸を使用するため、低侵襲での歯周外科治療が可能になります。

上記構成案を確認いたしました。Webサイト内のコンテンツは上記構成案を参考に制作してください。

費用

症例

患者様のお悩み

歯茎が痛くて物が食べれない

治療法・使用素材

オールセラミック インプラント

患者様の年代

70

治療開始年齢

73

治療にかかった期間

2年半

性別

女性

この治療のリスクについて

糖尿病の悪化による歯周状態の悪化

治療にかかった費用

400万

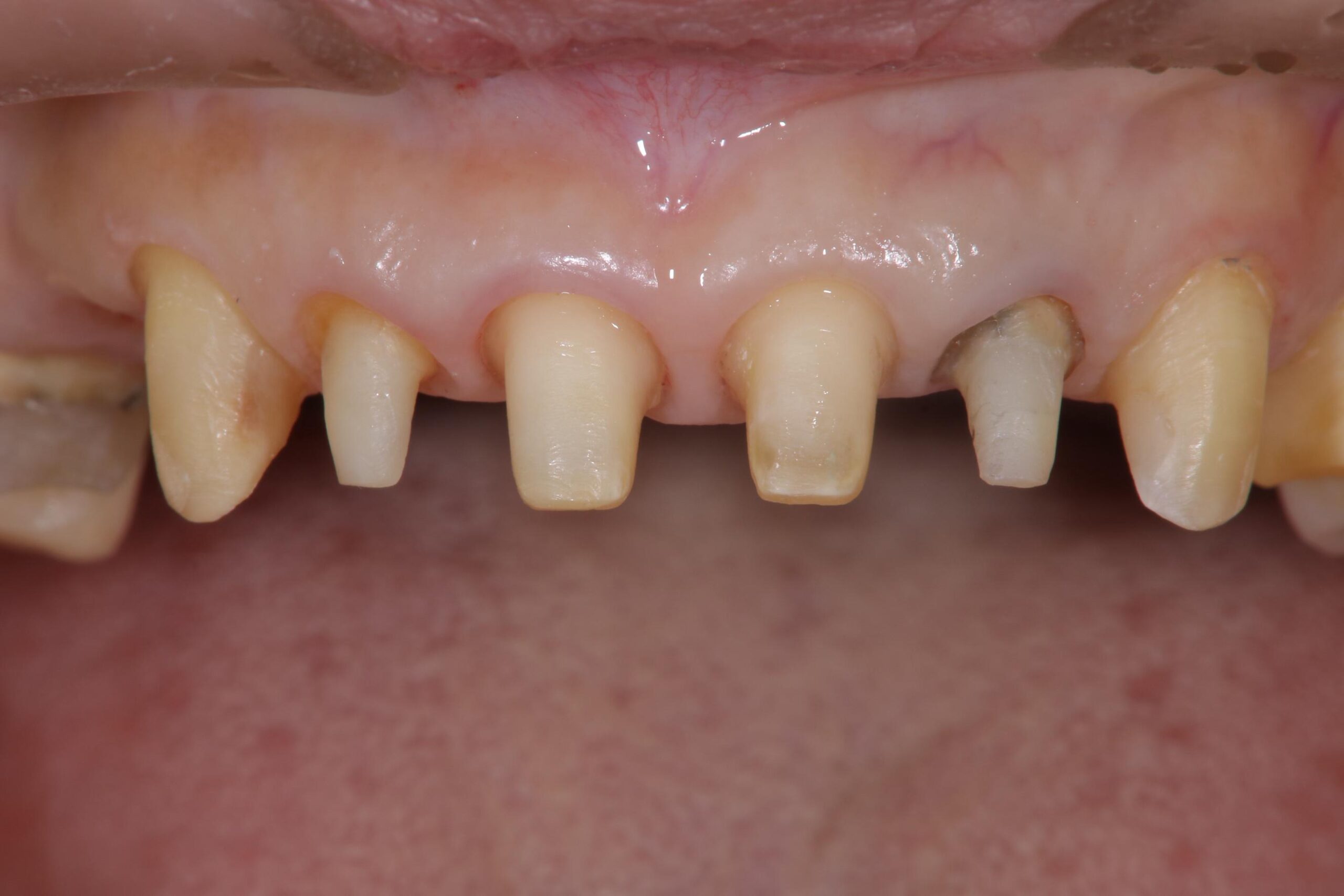
治療前

治療前
治療前レントゲン

治療中

治療中

治療後

治療後
治療後レントゲン