病気、加齢、事故などにより歯を失った時に、失った歯の機能性を回復させるための方法として、「入れ歯」「ブリッジ」「インプラント」などがあります。このうち、入れ歯は最も多くの方が選択している方法です。入れ歯に対して、「目立つ」「外れる」「噛みにくい」などのイメージを持たれている方もいるかもしれませんが、今では様々な種類の自費の入れ歯が開発されており、装着しても目立たない入れ歯、快適にお使いいただける入れ歯などもあります。
大阪市北区のこばやし歯科クリニックでは患者様お一人おひとりのお口の中の状態や、ご要望を詳しくおうかがいした上で、適切な入れ歯をご提案させていただきます。初めて入れ歯を作られる方も、今の入れ歯にご不満がある方も、何でもお気軽にご相談ください。
入れ歯を固定するための金属のバネ(クラスプ)がない、部分入れ歯です。バネがないので目立ちにくく、さらに歯茎部分に柔らかい樹脂を使用しているため、装着時の違和感を軽減することができます。金属を使用しないので、金属アレルギーの方でも安心してお使いいただけます。
歯根と入れ歯に超小型磁石を取り付けることで、磁力により固定する入れ歯です。入れ歯のずれや、がたつきを抑えることができます。インプラントと組み合わせて、総入れ歯を固定させることも可能です。
歯根部分に内冠、入れ歯側に外冠を付けて、それらをはめ込み空気圧によって固定する入れ歯です。自然な見た目と、優れた噛み心地を実現することができます。
床部分に金属を使用した入れ歯です。薄く作ることができるので、少ない違和感で装着することができます。熱伝導に優れているので、食事を美味しく味わうこともできます。当院では金属の素材を、「ゴールド」「チタン」「コバルトクロム」からお選びいただけます。
残っている歯に特殊な連結装置を組み込んだ冠を被せて、部分入れ歯に組み込んだ連結装置と連結させることで、入れ歯を固定する方法です。金属のバネを使用しないので審美性に優れており、安定性が高いので、入れ歯がずれたり外れたりすることはほとんどありません。
顎の骨にインプラントを埋入し、それを土台として装着する総入れ歯です。現在、総入れ歯をお使いの方で、入れ歯が「ずれる」「外れる」「痛い」「硬いものが噛めない」などでお悩みの方におすすめです。インプラントを土台とするのでずれたり外れたりすることがほとんどなく、強い力でしっかりとものを噛むことができるようになります。
入れ歯には保険診療適用のものと、自費診療適用のものがあります。保険診療適用の入れ歯であれば費用を抑えることができますが、審美性や機能性を追求されたい方には、自費診療適用の入れ歯をおすすめしております。
噛み心地や装着感に優れており、味や温度を自然に感じることができる
土台となる歯に三重構造の維持装置を作成する、新しいタイプの入れ歯です。土台となる歯を削り、その上に純金の内冠を被せます。さらにその上に純金の外冠を被せ、入れ歯の金属フレームを作成します。
取り外しの硬さのコントロールが通常のテレスコープコーヌスデンチャーよりも容易で、ほどよい装着感が得られます。術者可撤式ブリッジですので清掃性に優れていますが、普段の食事などで外れるようなことはありません。
ブリッジとは、歯を失った部分の両隣の歯を削り、それらを土台として人工歯と一体化した被せ物を被せる方法です。人工歯をしっかりと固定することができるので、食事の際の違和感などを軽減することができます。ただし、健康な歯を削らなくてはいけないというデメリットもあります。ブリッジ・差し歯をお考えの方は、大阪市北区・大阪市福島区からも近いこばやし歯科クリニックへお越しください。
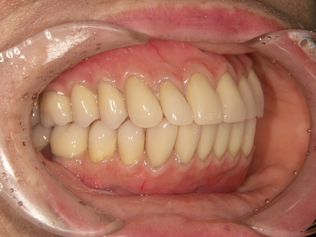
患者様のお悩み
入れ歯でものがうまく噛めない・入れ歯が気持ち悪い
治療法・使用素材
金属床 審美的歯ぐき表現
患者様の年代
70代
治療開始年齢
73歳
治療にかかった期間
11月
性別
この治療のリスクについて
治療にかかった費用
100万
マグネットデンチャー、インプラントオーバーデンチャー、AGCテレスコープコーヌスデンチャー(AGC術者可撤式ブリッジ)の費用に関しましては、症例に応じて費用が異なりますのでお問い合わせください。